
Weisheitszähne entfernen: Alles, was du über die OP, die Schmerzen und die Genesung wissen solltest
Share
Hast du auch dieses mulmige Gefühl, wenn dein Zahnarzt plötzlich sagt: „Wir sollten uns mal Ihre Weisheitszähne anschauen“? Du nickst nur, während dir im Kopf das Wort "Operation" aufblinkt und du dir innerlich schon ausmalst, wie du tagelang mit Hamsterbacken auf der Couch liegst. Aber hey, keine Panik! Die Weisheitszahnentfernung klingt schlimmer, als sie ist, zumindest, wenn du weißt, was auf dich zukommt und wie du dich darauf vorbereitest.
In diesem Beitrag beantworte ich häufige Fragen, die vielen Patienten durch den Kopf schwirren könnten: Warum müssen Weisheitszähne überhaupt raus? Was passiert während der OP? Wie schlimm sind die Schmerzen wirklich? Und warum passen diese Zähne bei den meisten von uns einfach nicht in den Kiefer?
Weisheitszähne: Warum haben wir sie überhaupt?
Bevor wir darüber sprechen, warum Weisheitszähne überhaupt gezogen werden, lass uns kurz klären, warum wir sie überhaupt haben. Die Natur hat sich ja sicher was dabei gedacht, oder?
Zuerst musst du wissen, dass sich die Anatomie der Kiefer unserer Vorfahren deutlich von unseren Kiefern heute unterscheiden. Unsere Vorfahren hatten einen breiteren und kräftigeren Kiefer, der problemlos Platz für alle 32 Zähne bot, inklusive der vier Weisheitszähne, die als dritte Backenzähne ganz hinten im Mund sitzen. Doch warum haben wir diesen Platz heute nicht mehr?
Der Wandel des Kiefers: Was ist passiert?
Mit der Entwicklung des Menschen hin zu einer modernen Lebensweise hat sich auch unser Kiefer drastisch verändert. Während unsere Vorfahren kräftige, breite Kiefer und gerade Zähne hatten, zeigen heutige Gebisse oft ein ganz anderes Bild: Engstände, Überbisse, schiefe Zähne und zu kleine Kiefer, die nicht mehr alle Zähne aufnehmen können. Aber warum ist das so?
Unsere Vorfahren: Breite Kiefer, gesunde Nasenatmung, gerade Zähne
Wenn man Schädel unserer Vorfahren untersucht, fällt eines sofort auf: Ihre Kiefer waren breiter, die Zahnreihen perfekt ausgerichtet und die Nasengänge weiter als bei uns heute. Diese breiten Nasengänge deuten darauf hin, dass unsere Vorfahren überwiegend durch die Nase atmeten. Ein wichtiger Faktor für die allgemeine Gesundheit, die richtige Sauerstoffversorgung und die Entwicklung des Gesichtsschädels.
Doch heute ist dieses Bild oft genau umgekehrt: Viele Menschen atmen durch den Mund, was nicht nur die Kieferentwicklung beeinträchtigt, sondern auch zu weiteren gesundheitlichen Problemen führen kann. Aber woher kommt diese drastische Veränderung?
Weiche Nahrung und fehlende Nährstoffe
Unsere Vorfahren aßen rohe, harte Lebensmittel wie zähe Wurzeln, faserreiche Pflanzen und ungekochtes Fleisch. Diese Ernährungsweise zwang die Kiefermuskulatur zu harter Arbeit, wodurch die Kieferknochen optimal stimuliert wurden und sich voll ausbildeten. Außerdem war die Nahrung reich an Nährstoffen, die für die Entwicklung von Knochen, Zähnen und Kiefer essenziell waren.
Die moderne Ernährung sieht ganz anders aus: Pasta, Brot, Suppen, Smoothies, weiche Snacks – all das fordert den Kiefer kaum noch. Und nicht nur das: Die Lebensmittel, die wir heute konsumieren, liefern oft nicht mehr die benötigten Baustoffe, um unsere Knochen und Zähne richtig zu entwickeln.
Vitamin K2: Das fehlende Puzzlestück
Ein wichtiger Faktor ist der Mangel an Vitamin K2. Dieses Vitamin sorgt dafür, dass Kalzium im Körper dorthin transportiert wird, wo es hingehört – nämlich in die Knochen und Zähne. Fehlt Vitamin K2, bleibt das Kalzium ungenutzt und kann sich stattdessen an unerwünschten Stellen wie in den Blutgefäßen ablagern.
Früher war Vitamin K2 in der Ernährung allgegenwärtig: Es kam in Lebensmitteln wie Leber, fermentiertem Gemüse (z. B. Sauerkraut) und den Produkten von grasgefütterten Tieren vor. Doch heute ist es fast verschwunden, vor allem durch die konventionelle Landwirtschaft. Diese setzt auf Massentierhaltung, Monokulturen und chemische Düngemittel, was nicht nur die Qualität unserer Nahrung massiv beeinträchtigt hat, sondern auch den Boden zerstört.
Wusstest du, dass unsere Böden heute viel weniger Mineralstoffe enthalten als noch vor 80 Jahren? Das bedeutet, selbst wenn wir uns „gesund“ ernähren, nehmen wir nicht mehr die gleiche Menge an Nährstoffen auf wie früher.
Diese Bodenerschöpfung hat nicht nur die Qualität unserer Nahrung verschlechtert, sondern auch zu einem massiven Fruchtbarkeitsverlust bei Pflanzen und Tieren geführt. Die konventionelle Landwirtschaft liefert uns heute Lebensmittel, die oft mehr leere Kalorien enthalten, aber weniger von den wichtigen Mikronährstoffen, die wir für gesunde Knochen und Zähne brauchen.
Weitere Ursachen für die mangelnde Kieferentwicklung
-
Erhöhter Nährstoffbedarf durch chronischen Stress
Chronischer Stress ist heute weit verbreitet. Er verbraucht enorm viele Vitalstoffe, insbesondere Magnesium, Zink und die B-Vitamine. Wenn der Körper permanent auf „Alarmbereitschaft“ ist, bleiben weniger Ressourcen für die richtige Entwicklung von Knochen und Zähnen übrig. -
Umweltbelastungen und Medikamente
Umweltgifte, Schwermetalle und Pestizide belasten unseren Körper zusätzlich. Auch Medikamente wie Antibiotika können das Mikrobiom aus dem Gleichgewicht bringen, was die Nährstoffaufnahme beeinträchtigt. -
Der starke Rückgang der Stillraten
Das Stillen ist nicht nur für die Ernährung des Babys wichtig, sondern auch für die richtige Entwicklung des Kiefers. Beim Saugen an der Brust wird der Kiefer trainiert, was zu einer optimalen Form beiträgt. -
Endokrine Disruptoren in Nahrung, Kosmetik und Umwelt
Hormonstörende Stoffe wie BPA (in Plastik) und andere Chemikalien können die Entwicklung von Knochen und Zähnen negativ beeinflussen. Diese Stoffe stören den Hormonhaushalt und damit auch das Wachstum. -
Der erhöhte Konsum von Fast Food
Fast Food liefert viele Kalorien, aber keine Mikronährstoffe. Es handelt sich dabei um leere Energie, die den Körper nicht ausreichend mit den Bausteinen versorgt, die er für die richtige Entwicklung braucht. -
Allergien und Nahrungsmittelunverträglichkeiten
Immer mehr Menschen leiden unter Allergien und Unverträglichkeiten, die zu chronischen Entzündungen im Darm führen. Das beeinträchtigt die Aufnahme von Nährstoffen wie Kalzium, Magnesium und Zink – alles essenziell für Knochen und Zähne. -
Gestörtes Mikrobiom
Ein gesundes Darmmikrobiom ist entscheidend für die Aufnahme von Nährstoffen. Antibiotika, eine ungesunde Ernährung und Umweltbelastungen können das Gleichgewicht der Darmflora zerstören. Ohne ein funktionierendes Mikrobiom kann der Körper wichtige Mineralstoffe und Vitamine nicht optimal aufnehmen.
Die Kombination aus weicher Nahrung, einem Mangel an Vitamin K2 und anderen Nährstoffen sowie den Belastungen unserer modernen Lebensweise hat dazu geführt, dass unser Mundraum schlichtweg nicht mehr groß genug ist, um alle Zähne aufzunehmen. Die Weisheitszähne, die als letzte durchbrechen, sind dabei die Leidtragenden. Sie finden oft keinen Platz, bleiben stecken, wachsen schief oder drücken auf die benachbarten Zähne.
Man könnte also sagen: Unsere Weisheitszähne sind Opfer unserer modernen Lebensweise.
Muss ich meine Weisheitszähne wirklich entfernen lassen?
Ich weiß, ich könnte mit dem, was ich jetzt sage, ein paar Leute ein bisschen auf die Palme bringen. Aber ich finde, es muss gesagt werden: Meiner Meinung nach werden Weisheitszähne heutzutage viel zu schnell gezogen. Oft geschieht das sogar präventiv, ohne dass es einen akuten Grund gibt.
Weisheitszähne sind ein Teil von uns – sie haben eine Funktion!
Bevor du vorschnell zustimmst, deine Weisheitszähne entfernen zu lassen, solltest du dir bewusst machen, dass diese Zähne nicht grundlos da sind. Sie sind ein natürlicher Teil deines Körpers und gehören zu deinem Zahn- und Kieferapparat. Weisheitszähne haben über Jahrtausende hinweg eine wichtige Rolle gespielt.
Darüber hinaus gibt es eine interessante Verbindung, die vielen gar nicht bewusst ist: Weisheitszähne stehen in der traditionellen chinesischen Medizin (TCM) in Verbindung mit sogenannten Energie-Meridianen, die durch den Körper laufen. Diese Meridiane sollen Zähne mit bestimmten Organen und Körperregionen verknüpfen. Zum Beispiel:
- Die Weisheitszähne sollen mit den Meridianen des Herz-Kreislauf-Systems und des Dünndarms verbunden sein.
Nach der TCM-Theorie kann das Entfernen eines Zahnes diese energetische Verbindung stören, was sich möglicherweise auf die Gesundheit der entsprechenden Organe auswirkt. Auch wenn diese Ansichten wissenschaftlich kontrovers diskutiert werden, finden sie immer mehr Zuspruch, und es schadet sicher nicht, solche Aspekte in die Entscheidung mit einzubeziehen. Schließlich gehört der Körper als Ganzes zusammen, und jede Entscheidung, einen Teil davon zu entfernen, sollte wohlüberlegt sein.
Weisheitszähne vorschnell zu ziehen, ist nicht immer die beste Lösung
Leider scheint es in der Zahnmedizin manchmal so, als gäbe es eine Art „Standardvorgehen“, Weisheitszähne einfach präventiv zu entfernen, sobald sie sichtbar werden, sozusagen als reine Vorsichtsmaßnahme. Nach dem Motto: "Könnte ja irgendwann mal Probleme machen." Aber das ist doch, als würde man alle Mandeln oder Blinddärme entfernen, nur weil sie vielleicht mal entzündet sein könnten. So funktioniert unser Körper nicht!
Weisheitszähne ziehen zu lassen, ist kein harmloser Eingriff. Es ist eine OP, und wie bei jeder Operation gibt es Risiken: Infektionen, Schwellungen, Nervenschäden oder Komplikationen bei der Wundheilung.
Was kannst du tun, um die richtige Entscheidung zu treffen?
Wenn dein Zahnarzt vorschlägt, deine Weisheitszähne zu entfernen, dann nimm dir die Zeit, die Sache genau zu durchdenken. Lass dich nicht von Aussagen wie "Das machen wir immer so" oder "Es ist besser, die frühzeitig rauszunehmen" unter Druck setzen. Jeder Fall ist individuell, und es gibt keine allgemeingültige Regel. Hier sind einige Tipps, die dir bei der Entscheidung helfen können:
1. Frage nach einer klaren Begründung
Wenn dein Zahnarzt dir rät, deine Weisheitszähne ziehen zu lassen, frag nach den konkreten Gründen. Stelle Fragen wie:
- „Verursachen meine Weisheitszähne derzeit Probleme?“
- „Sind sie schief oder drücken sie auf andere Zähne?“
- „Gibt es Anzeichen für Entzündungen oder Schäden am Kieferknochen?“
Lass dir genau erklären, warum die Entfernung empfohlen wird. Je mehr Informationen du hast, desto besser kannst du die Situation beurteilen.
2. Hole dir eine zweite Meinung ein
Wenn du unsicher bist, ob die Entfernung wirklich nötig ist, zögere nicht, einen zweiten Zahnarzt oder Kieferchirurgen aufzusuchen. Es ist völlig legitim, mehrere Meinungen einzuholen, besonders wenn der Eingriff keine Dringlichkeit hat. Unterschiedliche Zahnärzte haben oft unterschiedliche Herangehensweisen, und das kann dir helfen, eine informierte Entscheidung zu treffen.
Achte auf deinen individuellen Fall
Denke daran: Deine Weisheitszähne sind einzigartig, genauso wie dein Mund und dein Kiefer. Während bei jemand anderem eine Entfernung dringend erforderlich sein kann, ist sie bei dir vielleicht nicht notwendig.
Wann die Entfernung tatsächlich nötig ist
Natürlich gibt es Fälle, in denen die Weisheitszähne wirklich rausmüssen. Das ist besonders dann der Fall, wenn:
- Die Zähne schief liegen und Druck auf die Nachbarzähne ausüben.
- Es wiederholt zu Entzündungen, Schmerzen oder Infektionen kommt.
- Die Zähne teilweise durchgebrochen sind und dadurch schwer zu reinigen sind, was das Risiko von Karies und Zahnfleischentzündungen erhöht.
- Eine Zyste oder ein anderer pathologischer Befund im Kiefer entdeckt wurde.
In solchen Fällen ist die Entfernung wahrscheinlich die richtige Entscheidung.
1. Platzmangel im Kiefer
Das häufigste Problem bei Weisheitszähnen ist Platzmangel:
- Sie können schräg wachsen, um irgendwie noch einen Platz zu finden. Dabei können sie gegen die benachbarten Backenzähne drücken, was Schmerzen und Zahnverschiebungen verursachen kann.
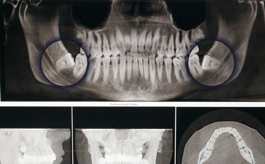
2. Eingeklemmte Weisheitszähne
Weisheitszähne, die im Kiefer stecken bleiben, nennt man impaktierte Zähne. Sie können entweder teilweise durchbrechen oder vollständig unter dem Zahnfleisch und Knochen verborgen bleiben.
- Teilweise impaktierte Zähne: Hier ragt ein Teil des Zahns aus dem Zahnfleisch, während der Rest im Kiefer eingeschlossen ist. Das klingt harmlos, birgt jedoch einige Risiken. Die Stelle, an der Zahn und Zahnfleisch aufeinandertreffen, ist schwer zu reinigen. Bakterien und Speisereste können sich ansammeln, was zu schmerzhaften Entzündungen und Infektionen führt.
- Vollständig impaktierte Zähne: Diese bleiben komplett im Kiefer verborgen. Hier können sich auch Zysten bilden, was jedoch äußerst selten ist.
3. Zahnfleischentzündungen
Teilweise durchgebrochene Weisheitszähne können auch dann zum Problem werden, wenn sie nicht direkt Schmerzen verursachen. Warum? Weil sie eine Art „Tasche“ zwischen dem Zahn und dem Zahnfleisch bilden, in der sich Bakterien und Speisereste sammeln können. Diese Stelle ist schwer zu reinigen, selbst wenn du mit der Zahnbürste und Zahnseide gründlich bist.
Das Ergebnis ist oft eine Entzündung des Zahnfleischs, die in der Fachsprache Perikoronitis genannt wird. Typische Symptome sind:
- Schmerzen und Schwellungen im Bereich des Weisheitszahns
- Rötung und Druckempfindlichkeit des Zahnfleischs
- Manchmal sogar Eiterbildung und ein unangenehmer Mundgeruch
In schweren Fällen kann sich die Infektion sogar ausbreiten, auf die Wangen, den Hals oder die umliegenden Gewebe.
Entzündungen nicht auf die leichte Schulter nehmen!
Wenn du häufiger Schmerzen oder Schwellungen im Bereich eines Weisheitszahns hast, solltest du das nicht ignorieren. Chronische Zahnfleischentzündungen können langfristig nicht nur die Gesundheit des Zahns beeinträchtigen, sondern auch das Immunsystem belasten. Hier ist eine Entfernung oft sinnvoll, um solche Entzündungen dauerhaft zu verhindern.
4. Karies und Schäden an den Nachbarzähnen
Auch wenn Weisheitszähne vollständig durchbrechen, können sie etwas anfälliger für Karies sein, da sie weit hinten im Mund liegen und schwerer zu erreichen sind. Das bedeutet aber nicht, dass sie automatisch Probleme machen! Mit einer gründlichen Zahnpflege kannst du viel dafür tun, sie gesund zu halten.
- Karies am Weisheitszahn selbst: Weil die Stelle schwer zu reinigen ist, könnten sich Bakterien ansammeln, wenn nicht gründlich geputzt wird.
- Karies an Nachbarzähnen: Enge Abstände zwischen Weisheits- und zweiten Backenzähnen können eine Falle für Plaque und Speisereste sein.
Wie du vorbeugst:
Eine Zahnbürste mit kleinem Kopf, Zahnseide oder Interdentalbürsten und hydroxylapatithaltiger Zahnpasta helfen, auch die Weisheitszähne sauber zu halten. Regelmäßige Kontrollen beim Zahnarzt sind ebenfalls wichtig, um frühzeitig Probleme zu erkennen.
So läuft die Weisheitszahnentfernung ab: Was du wissen solltest, bevor es losgeht
Die Weisheitszahnentfernung ist ein Eingriff, der zwar routinemäßig durchgeführt wird, aber dennoch viele Fragen aufwirft. Vielleicht fragst du dich, was dich während und nach der OP genau erwartet oder wie du dich auf den Eingriff optimal vorbereiten kannst. Falls du dazu noch keine Informationen hast, dann empfehle ich dir, einen Blick auf meinen detaillierten Blogpost zur optimalen Vorbereitung und Nachsorge einer Zahn-OP zu werfen. Dort findest du alle wichtigen Informationen zu Ernährung, Vitalstoffen, Wundheilungstipps und mein Zahn-OP Vorbereitungs- und Nachsorgeschema.
In diesem Abschnitt möchte ich stattdessen auf weitere Details eingehen, die in meinem anderen Beitrag noch nicht angesprochen wurden. Es geht dabei um die praktischen Aspekte der Weisheitszahnentfernung selbst:
Was genau passiert während der OP?
Es ist normal, nervös zu sein, wenn eine OP ansteht. Schließlich ist der Gedanke an Schnitte im Zahnfleisch oder das Herauslösen eines Zahns für viele unangenehm. Aber es hilft, den Ablauf der OP zu kennen.
Die OP beginnt mit der richtigen Betäubung
Die Wahl der Anästhesie wurde bereits im Vorfeld besprochen – je nachdem, ob du dich für eine Lokalanästhesie, Sedierung oder Vollnarkose entschieden hast. Am Tag des Eingriffs überprüft der Zahnarzt oder Anästhesist noch einmal alle Details, bevor die Betäubung beginnt.
- Bei der Lokalanästhesie bekommst du mehrere Spritzen, die den Bereich rund um den Zahn vollständig betäuben. Nach ein paar Minuten wirst du keinerlei Schmerzen spüren, sondern nur ein leichtes Druckgefühl während der OP.
- Falls du eine Sedierung gewählt hast, wirst du über eine Kanüle ein Beruhigungsmittel erhalten. Du bist dabei in einem Zustand, in dem dir alles ziemlich egal ist. Viele Patienten können sich später kaum an den Eingriff erinnern.
- Bei einer Vollnarkose wirst du von einem Anästhesisten überwacht. Sobald du eingeschlafen bist, startet die Operation, und du bekommst nichts davon mit.
Freilegen des Zahns: Schritt für Schritt
Sobald die Betäubung wirkt, beginnt der Zahnarzt oder Kieferchirurg damit, den Weisheitszahn freizulegen. Das genaue Vorgehen hängt davon ab, ob der Zahn bereits durchgebrochen ist oder noch im Kieferknochen steckt.
-
Weichgewebe öffnen:
Falls der Zahn noch vollständig unter dem Zahnfleisch verborgen ist, wird der Zahnarzt einen kleinen Schnitt machen, um das Zahnfleisch vorsichtig beiseite zu schieben. Keine Sorge – du spürst davon nichts, da der Bereich betäubt ist. -
Knochen entfernen (falls nötig):
Ist der Weisheitszahn tief im Kieferknochen eingeschlossen, wird ein spezielles Instrument verwendet, um einen Teil des umgebenden Knochens zu entfernen. Das klingt schlimmer, als es ist. Der Knochen ist relativ weich, und moderne Technik sorgt dafür, dass dies möglichst schonend geschieht. -
Der Zahn wird gelockert:
Mit speziellen Hebeln und Zangen wird der Zahn vorsichtig gelockert. Manchmal wird er in kleinere Stücke zerteilt, um die Entfernung zu erleichtern, das ist besonders bei großen Zähnen oder stark verwurzelten Weisheitszähnen der Fall. -
Die Wundversorgung:
Nach der Entfernung des Weisheitszahns ist die gründliche Wundversorgung ein besonders wichtiger Schritt. Der Zahnarzt reinigt die Wunde sorgfältig, um sicherzustellen, dass keine Bakterien, Knochenreste oder Gewebeteile zurückbleiben, die später zu Entzündungen oder Komplikationen führen könnten. Dieser Schritt ist entscheidend, um die Heilung zu fördern und Infektionen vorzubeugen. Je nach Zahnarztpraxis und angewandter Methode gibt es unterschiedliche Möglichkeiten, die Wunde zu reinigen und zu verschließen:
· Standardmethoden: Die Wunde wird in der Regel mit antiseptischen Lösungen gespült, um sie von Keimen zu befreien.
· Erweiterte Methoden: Manche Zahnärzte setzen zusätzlich auf spezielle Verfahren, wie zum Beispiel die Verwendung von Ozon, das aufgrund seiner antibakteriellen und entzündungshemmenden Wirkung die Heilung unterstützen kann.
· PRF-Membran: Einige Praxen bieten die Möglichkeit, die Wunde mit einer A-PRF-Membran zu verschließen. Diese Membran wird aus deinem eigenen Blut hergestellt und enthält Wachstumsfaktoren, die die Heilung fördern und Entzündungen reduzieren.
FDOK/NICO
Eine gründliche Wundversorgung nach einer Zahnentfernung ist entscheidend, um Komplikationen wie FDOKs (Fettig-degenerative Osteolyse) oder NICOs (Neuralgia Inducing Cavitational Osteonecrosis) zu vermeiden. Dabei handelt es sich um entzündliche oder degenerative Veränderungen im Kieferknochen, die entstehen können, wenn die Wunde nicht ausreichend gereinigt wird oder Gewebereste und Bakterien zurückbleiben. Solche Hohlräume im Kieferknochen sind schwer zu erkennen und können sich über die Jahre unbemerkt entwickeln.
FDOKs oder NICOs sind deshalb so tückisch, weil sie nicht unbedingt im Mundraum Beschwerden verursachen. Stattdessen können sie durch Symptome auffallen, die scheinbar nichts mit dem Kiefer zu tun haben.
Wenn du unter unerklärlichen Symptomen leidest wie Knieschmerzen, neurologischen Störungen, Gelenksproblemen, chronischer Müdigkeit usw., wo trotz intensiver Untersuchungen keine eindeutige Ursache gefunden werden kann, könnten NICOs/FDOKs eine Möglichkeit sein, die in Betracht gezogen werden sollte. Eine Diagnose kann durch eine 3D-DVT-Aufnahme (Digitale Volumentomografie) gestellt werden, die den Kieferknochen detailliert darstellt und entzündliche Veränderungen sichtbar macht. Diese können dann durch eine gezielte Reinigung des betroffenen Kieferabschnitts behandelt werden.
Saubere Arbeit während einer Zahnentfernung, beispielsweise durch gründliches Reinigen der Wunde, den Einsatz von Ozon zur Desinfektion oder das Verschließen mit einer PRF-Membran ist daher nicht nur für die Heilung unmittelbar nach der OP wichtig, sondern auch, um langfristige Beschwerden und Komplikationen zu vermeiden.
Falls du tiefer in das Thema eintauchen möchtest, lies wie gesagt meinen anderen Blogpost zu diesem Thema. Dort findest du wertvolle Tipps zur optimalen Vorbereitung und Nachsorge einer Zahn-OP.
Zum Abschluss
Zum Schluss möchte ich dir noch etwas mit auf den Weg geben: Praktisch jeder, der eine Weisheitszahnentfernung hinter sich hat, sagt am Ende dasselbe: „Ich habe mir das viel schlimmer vorgestellt, als es wirklich war!“
Es ist wichtig, sich bewusst zu machen, dass nicht jeder Weisheitszahn automatisch ein Problem darstellt oder entfernt werden muss. Vielmehr kommt es auf deinen individuellen Fall an, und mit einer fundierten Beratung und regelmäßigen Kontrollen kannst du zusammen mit deinem Zahnarzt die richtige Entscheidung treffen.
Wenn eine OP nötig ist, dann kannst du dir sicher sein, dass dank moderner Betäubungsmethoden du während der OP keinen Schmerz verspürst, und der Eingriff selbst geht meistens schneller vorbei, als du denkst. Die größte Herausforderung ist oft nicht die OP selbst, sondern die Angst davor, und diese ist in den allermeisten Fällen völlig unbegründet.
Ja, es kann ein paar Tage dauern, bis die Wunde vollständig verheilt ist, aber mit der richtigen Nachsorge (und ein bisschen Geduld) wirst du bald wieder beschwerdefrei sein. Und wer weiß, vielleicht fragst du dich im Nachhinein sogar: „Warum habe ich mir so viele Gedanken gemacht?“
Ich wünsche dir Alles Gute!
Dr. Tudor Tegla
P.S. Hast du schon die von mir entwickelten Zahncremes probiert?
➥ Bio Zahncreme ohne Fluorid Zitrone
➥ Bio Kinderzahncreme ohne Fluorid
——————————————————————————————————
Haftungsausschluss:
Die in diesem Beitrag enthaltenen Informationen dienen ausschließlich allgemeinen Informationszwecken und stellen keine medizinische Beratung dar. Sie sollten nicht als Ersatz für professionelle Beratung, Diagnose oder Behandlung durch qualifizierte medizinische Fachkräfte verwendet werden. Konsultieren Sie immer Ihren Arzt oder einen anderen qualifizierten Gesundheitsdienstleister bei Fragen zu einer Erkrankung oder zu Behandlungsoptionen. Die Verwendung der bereitgestellten Informationen erfolgt auf eigenes Risiko. Der Autor und die Website übernehmen keine Verantwortung für Verluste oder Schäden, die durch das Vertrauen auf die in diesem Beitrag bereitgestellten Informationen entstehen.